嘿,朋友们!今天咱们来唠唠医学影像技术CT理论整理这个话茬子。您是不是一听到“理论”俩字就头大,觉得那些术语像天书一样难懂?别慌,俺们一起把它掰扯清楚,保准让您从迷糊到门儿清!说起医学影像技术CT理论,它其实就是计算机断层扫描的底层原理,像盖房子的地基一样重要。您知道吗,这玩意儿通过X射线旋转扫描人体,再靠计算机重建出断层图像,让医生能瞅见咱们身体里的“隐藏地图”。掌握了这个理论,您就明白为啥CT能像侦探一样精准揪出病变,解决了咱们对技术原理好奇又不懂的痛点——再也不用对着报告干瞪眼啦!
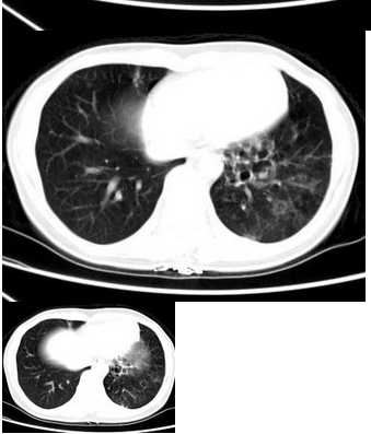
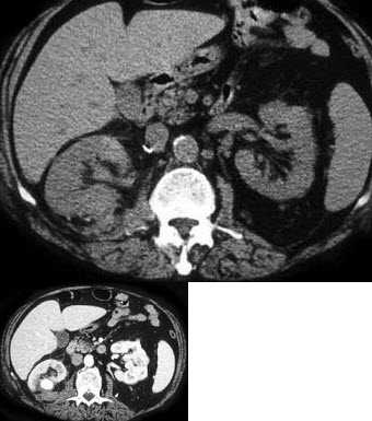
说到应用层面,医学影像技术CT理论在临床里可是个“万能钥匙”。比如在急诊科,CT快速扫描能帮医生判断脑出血或骨折,救命于分秒之间。俺们医院的老王医生常念叨:“不懂CT理论,就像开车不看路标,瞎转悠容易出岔子。”所以,深入学习医学影像技术CT理论,能让咱们在操作设备时更得心应手,解决了实际工作中理论脱节的痛点——您想想,要是只会按按钮,不懂背后门道,那跟蒙眼走路有啥区别?俺当初学的时候,可没少为这个掉头发,但现在回头一看,真是值当!通过理论整理,您会发现CT在肿瘤检测、血管成像中都能大显身手,甚至能指导手术规划,让治疗更精准。这可不是吹牛,俺亲身经历过一个案例:一位患者肺部有微小结节,靠CT理论优化扫描参数,图像清晰得连细节都一清二楚,最终早期确诊,避免了病情恶化。这种成就感,真是让人热血沸腾啊!

唉呀,有时候俺也会犯糊涂,把“CT”误写成“C T”,您可别笑话俺!毕竟,咱们都是凡人嘛,但纠正过来后,记得CT是Computer Tomography的缩写,中文叫计算机断层扫描。说到这里,俺不禁感慨:医学影像技术真是日新月异,咱们得不断学习才能跟上节奏。而医学影像技术CT理论的整理,现在有了新法子——比如用数字化工具做思维导图,把知识点像串珠子一样连起来。从X射线物理到图像重建算法,一条线捋清楚,学习起来事半功倍。这解决了咱们面对海量信息无从下手的痛点,再也不用在书堆里抓瞎了!俺推荐大伙儿试试这招,保准让理论变得活泛起来,就像吃麻辣火锅一样,越嚼越有味儿。
细节方面,CT理论整理可不能光靠死记硬背。俺记得第一次接触时,那些公式和算法让俺头大如斗,但后来通过实际操作,才摸清了门道。比如,在扫描胸部时,调整毫安秒和千伏值这些参数,能大幅提升图像质量,减少辐射伤害——这可是理论里的精髓!您要是整理时,不妨加入个人笔记,记录下自己的感受:比如“这个重建算法真妙,像拼图一样把碎片合成完整图像”,或者“辐射防护知识得牢记,安全比啥都重要”。这种情绪化表达,让学习变得生动,反而不容易忘。再说,现在人工智能也掺和进来了,但基础理论仍是根基,整理时得把新旧知识融合,比如比较传统CT与螺旋CT的差异,这样才足,让您始终走在行业前沿。

医学影像技术CT理论整理不是一蹴而就的活儿,需要咱们耐心打磨。从基础原理到高级应用,每一步都得扎实走好。希望这篇文章能帮到您,让您在医学影像领域越走越顺——咱们一起加油,把理论变成手中的利器!